Zęby mądrości, znane również jako ósemki, to ostatnie zęby, które wyrastają w jamie ustnej. Wbrew powszechnemu przekonaniu, nie rosną one tylko w górnej szczęce. Ósemki pojawiają się zarówno w górnej, jak i dolnej części jamy ustnej, co oznacza, że standardowo każdy człowiek ma cztery zęby mądrości – dwa na górze i dwa na dole. Proces ich wyrzynania zazwyczaj odbywa się w wieku od 17 do 25 lat, ale u niektórych osób może trwać nawet do 40. roku życia lub wcale się nie pojawić.
W artykule przyjrzymy się bliżej wzorcom wzrostu zębów mądrości, ich lokalizacji oraz przyczynom, dla których niektórzy ludzie nie mają tych zębów. Zrozumienie tych kwestii pomoże lepiej zadbać o zdrowie jamy ustnej oraz podjąć decyzje dotyczące ewentualnego usunięcia ósemek.
Kluczowe informacje:- Zęby mądrości rosną zarówno w górnej, jak i dolnej szczęce.
- Standardowo występują cztery zęby mądrości – dwa górne i dwa dolne.
- Wyrzynanie ósemek zazwyczaj ma miejsce w wieku od 17 do 25 lat.
- Niektórzy ludzie mogą nie mieć zębów mądrości z powodów genetycznych.
- Usunięcie ósemek jest często zalecane w przypadku ich impakcji lub braku miejsca w jamie ustnej.
- Wzrost zębów mądrości może prowadzić do różnych problemów zdrowotnych, takich jak infekcje czy ból.
Czy ósemki rosną tylko w górnej szczęce? Odpowiedź na to pytanie
Zęby mądrości, znane również jako ósemki, rosną zarówno w górnej, jak i dolnej szczęce. U większości ludzi występują cztery zęby mądrości – dwa w górnej szczęce i dwa w dolnej. Ich wyrastanie zazwyczaj zaczyna się w wieku od 17 do 25 lat, choć niektórzy mogą doświadczać tego procesu nawet do 40. roku życia. Ważne jest, aby zrozumieć, że ósemki mogą występować w obu częściach jamy ustnej, co jest kluczowe dla zrozumienia ich roli w uzębieniu.
Zęby mądrości: Gdzie dokładnie się pojawiają?
Ósemki znajdują się w tylnej części jamy ustnej, zlokalizowane w górnej i dolnej szczęce. Standardowo u dorosłych występują dwa zęby mądrości w górnej szczęce i dwa w dolnej. Te zęby są ostatnimi, które wyrastają w uzębieniu, a ich położenie jest kluczowe dla oceny stanu zdrowia jamy ustnej. Ich umiejscowienie może czasami prowadzić do problemów, jeśli nie ma wystarczająco dużo miejsca w szczęce na ich prawidłowy rozwój.
Jakie są typowe wzorce wzrostu zębów mądrości?
Zęby mądrości, znane również jako ósemki, mają charakterystyczne wzorce wzrostu, które zazwyczaj występują w określonym przedziale wiekowym. Wyrastanie tych zębów najczęściej zaczyna się pomiędzy 17 a 25 rokiem życia. U niektórych osób proces ten może trwać nawet do 40. roku życia, a w niektórych przypadkach ósemki mogą w ogóle się nie pojawić. Warto zauważyć, że ich wyrzynanie się może być różne w zależności od indywidualnych cech anatomicznych oraz zdrowotnych pacjenta.
Wiek, w którym pojawiają się ósemki – co warto wiedzieć?
Ósemki zazwyczaj pojawiają się w wieku od 17 do 25 lat. Jest to okres, w którym większość ludzi doświadcza wyrzynania się zębów mądrości. Warto jednak pamiętać, że niektórzy mogą zauważyć ich obecność znacznie później, a niektórzy mogą ich nie mieć wcale. Czynniki takie jak genetyka oraz struktura szczęki mogą wpływać na czas ich erupcji, co sprawia, że każdy przypadek jest unikalny.
Jakie są różnice w erupcji górnych i dolnych ósemek?
Erupcja górnych i dolnych ósemek różni się pod względem wzorców wzrostu. Zęby mądrości w górnej szczęce zazwyczaj wyrastają wcześniej niż ich odpowiedniki w dolnej. Górne ósemki mogą pojawić się już w wieku 17 lat, podczas gdy dolne często zaczynają się wyrzynać nieco później, zazwyczaj między 18 a 25 rokiem życia. Ponadto, górne zęby mądrości mogą mieć tendencję do wzrostu w bardziej korzystnej pozycji, podczas gdy dolne mogą być bardziej narażone na problemy z impakcją ze względu na ograniczoną przestrzeń w żuchwie.
- Górne ósemki często wyrastają w bardziej prostych liniach, co ułatwia ich erupcję.
- Dolne ósemki mogą napotykać więcej przeszkód, co prowadzi do większej liczby przypadków impakcji.
- Wzrost górnych zębów mądrości jest zazwyczaj mniej bolesny niż dolnych, które mogą powodować większy dyskomfort.
Genetyka a obecność zębów mądrości – co mówią badania?
Badania wskazują, że genetyka odgrywa kluczową rolę w obecności zębów mądrości. Niektóre osoby mogą nie mieć ich wcale, co jest wynikiem dziedziczenia cech genetycznych. W analizach przeprowadzonych przez naukowców, takich jak badania opublikowane w "American Journal of Physical Anthropology", wykazano, że brak zębów mądrości jest bardziej powszechny w niektórych populacjach, co sugeruje ewolucyjne dostosowanie do zmieniającej się diety i struktury szczęk. Geny odpowiedzialne za rozwój zębów mądrości są zatem zróżnicowane i mogą wpływać na ich obecność lub brak.
Częstość usuwania ósemek – przyczyny i zalecenia
Usuwanie zębów mądrości jest powszechnym zabiegiem stomatologicznym, który ma na celu zapobieganie problemom zdrowotnym. Najczęstszymi przyczynami ekstrakcji ósemek są ich impakcja, czyli niewłaściwe wyrastanie, oraz brak miejsca w jamie ustnej, co prowadzi do przeludnienia. Warto także rozważyć usunięcie zębów mądrości, gdy pojawiają się objawy bólowe lub infekcje. Dentysta często zaleca ekstrakcję, gdy zęby są w niekorzystnej pozycji lub mogą zaszkodzić sąsiednim zębom.
- Przeludnienie w jamie ustnej, które może prowadzić do przesunięcia innych zębów.
- Impakcja, gdzie ząb nie ma wystarczającej przestrzeni do prawidłowego wyrastania.
- Infekcje lub stany zapalne, które mogą wystąpić w okolicy zębów mądrości.
Czytaj więcej: Gdzie w góry z dziećmi latem? Odkryj najlepsze miejsca na wakacje
Jakie są potencjalne problemy związane z wzrostem ósemek?
Wzrost zębów mądrości może prowadzić do różnych problemów zdrowotnych, które warto znać. Często zęby te nie mają wystarczającej przestrzeni w jamie ustnej, co może skutkować ich impakcją. W takiej sytuacji ząb nie wyrasta prawidłowo, co może prowadzić do bólu, infekcji, a także uszkodzenia sąsiednich zębów. Inne komplikacje to stany zapalne oraz przeludnienie, które mogą wymagać interwencji stomatologicznej.
Warto również zauważyć, że problemy związane z ósemkami mogą występować w różnym wieku. U niektórych osób mogą one pojawić się w okresie dorastania, a u innych znacznie później. Dlatego regularne wizyty u dentysty są kluczowe dla monitorowania stanu zdrowia jamy ustnej oraz wczesnego wykrywania potencjalnych komplikacji związanych z wyrzynaniem się zębów mądrości.
Powikłania zdrowotne związane z erupcją zębów mądrości
Erupcja zębów mądrości może prowadzić do wielu powikłań zdrowotnych. Najczęściej występujące problemy to ból w okolicy zęba, który może być wynikiem stanu zapalnego lub infekcji. Zęby mądrości mogą również powodować uszkodzenia sąsiednich zębów, co prowadzi do dodatkowych komplikacji. Ponadto, nieleczona impakcja może prowadzić do poważniejszych problemów zdrowotnych, takich jak torbiele czy ropnie, które wymagają interwencji chirurgicznej.
| Typ powikłania | Opis |
|---|---|
| Ból | Odczuwany w okolicy zęba, często związany z infekcją lub stanem zapalnym. |
| Infekcje | Możliwe wystąpienie stanów zapalnych, które mogą prowadzić do ropni. |
| Uszkodzenie sąsiednich zębów | Nieprawidłowo wyrastające ósemki mogą powodować przesunięcia w uzębieniu. |
| Torbiele | Możliwość wystąpienia torbieli w przypadku impakcji zęba. |
Jak unikać problemów z ósemkami – praktyczne wskazówki
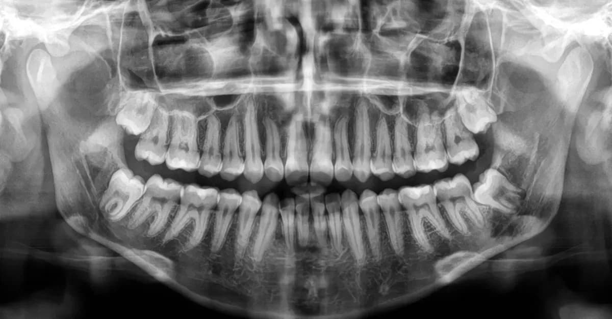
Aby zminimalizować ryzyko powikłań związanych z wzrostem zębów mądrości, warto wprowadzić kilka praktycznych nawyków. Regularne wizyty u dentysty, nawet jeśli nie odczuwasz bólu, mogą pomóc w wczesnym wykryciu problemów związanych z erupcją ósemek. Dentysta może zalecić zdjęcia rentgenowskie, które pozwolą ocenić położenie zębów mądrości oraz zidentyfikować ewentualne zagrożenia, zanim staną się one poważne.
Dodatkowo, wprowadzenie zdrowej diety bogatej w składniki odżywcze wspierające zdrowie zębów, takie jak wapń i witamina D, może przyczynić się do lepszego stanu uzębienia. Unikanie nadmiaru cukrów i kwasów pomoże w ochronie przed próchnicą, co jest szczególnie ważne w kontekście zębów mądrości. Warto również rozważyć stosowanie płukanek do jamy ustnej, które pomagają w walce z bakteriami i zmniejszają ryzyko infekcji wokół rosnących ósemek.






